超音波檢查是用高頻率聲波掃描骨盆腔內的結構,通過聲波反射的原理顯示影像;其中,4D超音波因為能顯示立體且連續的影像,所以許多人會在產檢時選擇,能清楚看到寶寶的樣貌及動作。
不過4D超音波屬於自費項目,各家醫院收費不一,在茂盛醫院產檢單胞胎做4D超音波費用為2,500元。
那麼最適合照4D超音波週數落在什麼時候呢?真的能看清楚寶寶長相嗎?以及4D超音波對胎兒有沒有不良影響呢?這些問題與迷思就讓本篇來解惑!
4D超音波與2D超音波、3D超音波的差異?
懷孕期間,超音波檢查是產檢中非常重要的一環,透過不同技術的影像呈現,醫師可以觀察胎兒發育狀況、器官結構以及胎盤與羊水情形。
常見的超音波檢查包括2D、3D、4D超音波以及高層次超音波,每種檢查目的與呈現方式都不太相同。以下整理幾種常見超音波檢查的差異,讓準爸媽更了解各自的用途。
2D超音波
2D超音波是產檢中最基礎、也最常使用的檢查方式,透過黑白平面影像呈現胎兒狀況。檢查過程中,醫師可藉由2D影像觀察胎兒心跳、頭圍、腹圍、股骨長度等基本生長指標,同時確認胎盤位置、羊水量與胎動情形。
大多數例行產檢都會使用2D超音波,因此它可說是整個孕期最重要的基礎檢查工具。
3D超音波
3D超音波是在2D影像的基礎上,透過電腦重建形成立體靜態影像,讓胎兒呈現更立體的外觀,例如:臉部輪廓、鼻子、嘴巴或手腳姿勢等。
這類影像常被用來觀察胎兒外觀結構,也讓父母能更清楚看到寶寶的樣子,不過3D影像是「靜態畫面」,無法即時顯示胎兒動作,不像4D胎兒超音波可以即時看到動態影像。
4D超音波
4D超音波其實就是在3D立體影像的基礎上加入「時間軸」,讓影像變成即時動態畫面,因此可以清楚看到胎兒在子宮中的動作,例如:寶寶打呵欠、吸手指或揮動手腳等可愛畫面,許多孕婦會安排胎兒4D超音波來記錄寶寶在子宮中的模樣。
一般建議的4D超音波週數大約落在懷孕24~32週之間,此時胎兒脂肪逐漸增加,臉部輪廓較清晰,也是多數人安排4d超音波何時照時常見的時間點。
高層次超音波
高層次超音波又稱為「胎兒結構篩檢」,與單純觀看嬰兒4D超音波的目的不同,主要是更全面地檢查胎兒器官發育。
醫師會仔細評估胎兒腦部顱內結構、臉部與五官、脊椎發展、心臟四腔室與血管、肺部、腸胃道、腎臟與膀胱、四肢骨骼等器官,同時觀察胎盤位置、羊水量與臍帶血流等情況。
部分醫療院所也會搭配4D高層次超音波或高層次超音波4d影像輔助判讀,使結構觀察更清楚。不過需要注意的是,4D超音波跟高層次的目的並不相同,高層次超音波主要是醫學篩檢,而4D超音波則多半屬於影像紀錄與親子互動體驗。
2D、3D、4D、高層次超音波,4種不同類型產檢超音波運用比較:
(表格費用為茂盛醫院提供之標準費用參考)
| 2D黑白超音波 | 3D彩色超音波 | 4D立體超音波 | 高層次超音波 | |
|---|---|---|---|---|
| 費用 | 健保給付3次 | 1,500~2,500元 *此為他院檢查價格區間,茂盛醫院無此檢查項目 |
|
|
|
||||
| 拍攝目的 | 了解胎兒發育狀況是否正常 | 胎兒外觀異常時做為輔助診斷,或留念用 | 留念用 *茂盛醫院特別將4D超音波應用於不孕症檢查與胚胎植入 |
深入檢查胎兒全身器官 |
| 拍攝週數 | 8-16週、20週、32週後 | 26-32週 | 26-32週 | 20-24週 |
| 拍攝效果 | 2D黑白平面 | 3D立體照片 | 4D動態連續影像 | 2D黑白平面 |
![]() |
![]() |
![]() |
![]() |
|
產檢做4D超音波費用多少?有補助嗎?
在台中茂盛醫院產檢做4D超音波的費用,單胞胎為2,500元,雙胞胎為7,000元。
衛福部國健署提供的孕婦產檢補助項目中,在妊娠期間提供了3次超音波檢查補助,不過補助的超音波種類僅限一般2D超音波,4D超音波則屬於自費項目,不含在補助範圍內。
為什麼雙胞胎照超音波會比單胞胎貴這麼多?
因為雙胞胎照音波在技術上會比單胞胎困難很多,所以價格上不是單純用單胞胎價格乘以二去做計算。
更多超音波費用疑問,歡迎聯繫
台中總院聯絡資訊
- Line諮詢:茂盛專員
- 電話諮詢:04-2234-7057
4D超音波何時照?產檢超音波週數建議
4D超音波在什麼週數適合照呢?如果是產檢時希望能將胎兒在肚子裡的可愛模樣拍攝下來留念,建議4D超音波的拍攝時間點可以選在26週到32週之間。
- 在26週之後胎兒五官樣貌已經逐漸成形,這時候子宮內還有空間可以活動,較容易拍攝到臉部表情及吸吮拇指等等動作。
- 當週數來到32週以後,由於體積變大導致寶寶在子宮內活動空間變小,胎兒動作可能會減少,較難拍到連續的動作或表情。
4D超音波拍攝的時間,一般來說約落在15-30分鐘左右,由於是要捕捉胎兒的表情與動作,因此拍攝多久也會視當下胎兒的狀況而定。
4D超音波除了能捕捉寶寶動態做紀念外,目前在台灣的婦產科院所也會將4D超音波運用在產檢上。
進行4D超音波會影響胎兒或孕婦嗎?
之前曾有媒體報導「照超音波影響胎兒健康」、「4D超音波導致胎兒自閉症」等等新聞,PTT、Dcard上許多網友也會分享自己擔心照超音波會影響到寶寶發育的疑慮。
其實超音波對胎兒會造成的影響都是錯誤迷思,實際上並沒有研究數據及文獻指出使用超音波會對胎兒或母體造成危害;藉由超音波檢查,反而能讓醫師為胎兒進行更完全面性的診斷,若發現有異常也能及早進行治療規劃。
超音波屬於非侵入性的檢查,透過聲波碰到物體會產生反射與折射特性,建構出胎兒的大小、形狀、位置,協助醫師進行檢查與診斷,在檢查過程中並不會產生輻射或任何負面影響。
台中茂盛醫院率先引進千萬旗艦級超音波-E22
為了提升孕期檢查品質與影像精準度,超音波檢查設備持續升級!
台中茂盛醫院率先引進千萬等級旗艦超音波設備 E22 高階超音波系統。此類設備屬於目前產科影像領域的頂級平台之一,能提供更高解析度與更細緻的影像品質,不論是一般產檢、4D超音波拍攝,或是精密的胎兒結構評估,都能提供更精準的影像判讀,全面提升產檢檢查水準。
E22系統的核心優勢,在於其先進影像架構與高速運算能力,能大幅提升超音波影像的清晰度與即時性。透過新一代影像處理技術,系統可以在高幀率下維持細緻畫質,使胎兒器官與組織邊界更加清楚,同時也能降低雜訊與影像失真,讓醫師在觀察胎兒腦部結構、心臟、脊椎與四肢等結構時更容易辨識細節。
這對於需要精細判讀的超音波高層次或高層次超音波檢查來說,能大幅提升診斷信心。
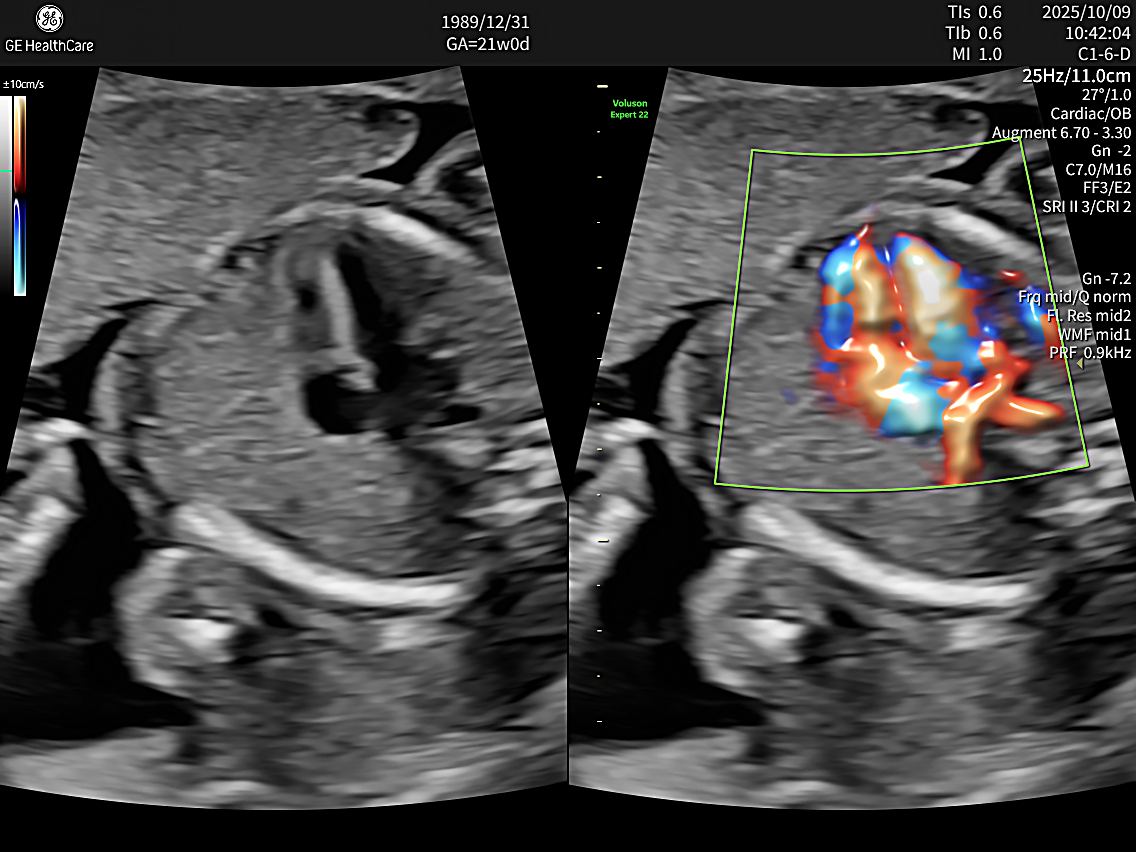
E22同時搭載多項高階影像技術,例如:高解析血流顯影技術,能清楚呈現胎盤與胎兒微小血管的血流狀態,幫助醫師更精準評估胎盤功能與胎兒循環狀況。
同時,系統也具備即時3D與4D胎兒超音波成像能力,能清楚呈現寶寶臉部輪廓與動態表情,例如:打呵欠、吸手指或微笑等畫面,讓準爸媽在進行胎兒4d超音波時,也能留下更清晰立體的珍貴影像。
在檢查應用上,E22 可支援多種產科與婦科檢查,包括一般產檢2D影像、3D立體影像、4D超音波以及胎兒結構評估等。透過高解析影像與智慧化輔助判讀功能,醫師能更有效率完成胎兒生長測量、器官結構評估與血流分析,提升整體檢查準確度。
對於準爸媽來說,選擇設備先進且經驗豐富的醫療院所,是孕期照護的重要關鍵。透過像 E22 這樣的旗艦級影像設備,不僅能獲得更清晰的兒超音波影像,也能讓醫師在胎兒健康評估上獲得更完整的資訊,提供孕期更安心、專業的醫療照護。
台中4D超音波也可以運用在不孕症檢查
台中茂盛醫院特別引進國外4D超音波技術,將4D超音波運用到不孕症檢查和胚胎植入輔助,不但能更精準檢查不孕症,還能提升植入著床率。
從安心檢查到珍貴影像,一次到位
旗艦級 E22 超音波系統的導入,不僅象徵台中茂盛醫院在產科影像技術上的持續精進,更展現對每一位孕媽咪與寶寶健康的高度重視!
透過更高解析度、更即時且更精準的影像判讀,醫師能在關鍵時刻做出更完善的評估與決策,讓產檢不只是例行檢查,更是一道守護胎兒發育的重要防線。
從醫療專業到影像體驗同步升級,讓每一次產檢都更安心、更清晰,也更值得被期待。
了解更多超音波問題,歡迎聯繫
台中總院聯絡資訊
- Line諮詢:茂盛專員
- 電話諮詢:04-2234-7057




