卵母細胞品質是胚胎發育、著床及妊娠成功的核心決定因素之一。在輔助生殖技術中,臨床上對卵母細胞的評估多依賴形態學觀察,例如透明帶厚度、胞質均勻度及極體外觀。然而,形態評估高度主觀,且不同實驗室與操作者之間一致性不足,對胚胎發育潛能的預測能力有限。近年研究顯示,細胞黏彈性反映了細胞膜與細胞骨架的機械性質,與其代謝狀態、結構穩定性及分裂能力密切相關。在幹細胞、免疫細胞及腫瘤細胞的研究中,黏彈性已被用來預測細胞功能與活性。然而,該技術在人類卵母細胞中的應用仍未成熟,主要挑戰包括測量方法的非破壞性、即時性及臨床可行性。本研究旨在驗證一種新型黏彈性測量裝置於 ICSI 前評估卵母細胞品質的可行性與安全性,並探討其與胚胎發育結果的關聯。

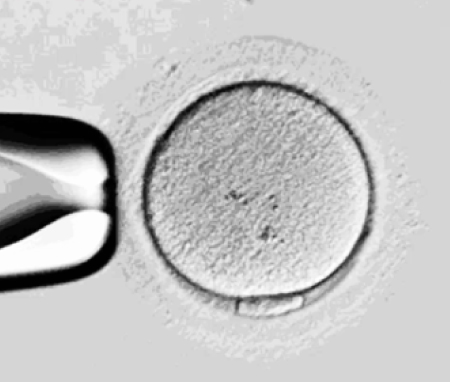
本院使用一種新型裝置,評估在 ICSI 前成熟卵母細胞的黏彈性與其後續發育之相關性。該裝置整合人工智慧驅動的機器學習演算法,分析抽吸影片及相應的壓力數據,以萃取機械與形態特徵。裝置的抽吸測量安全性已獲得充分驗證。本初步研究於單一中心進行,納入 21 位同意參與的患者之卵母細胞。共收集 365 顆來自 27 至 38 歲患者(平均年齡:33.8±2.9)進行體外受精的卵母細胞,並依黏彈性測量結果分為 A、B、C 三組。比較三組間的受精率、第 3 天優良胚胎發育率(≥7CB)以及第 5/6 天可用囊胚發育率。
黏彈性測量並未對平均受精率(83%)、第 3 天優良胚胎發育率(79.9%)或可用囊胚發育率(57.8%)造成不良影響,上述結果皆與實驗室的關鍵績效指標一致。雖然 A 組(84.8%)、B 組(80.5%)、C 組(85.1%)的受精率無顯著差異,但 A、B、C 三組的第 3 天優良胚胎發育率分別為 87.8%、75% 與 67.5%(p < 0.05),可用囊胚發育率分別為 64.8%、54.8% 與 42.5%(p < 0.05)。此外,分析顯示 35 歲以下患者的卵母細胞品質較佳,其中 A 級佔 54%、B 級佔 36%、C 級佔 10%;相較之下,35 歲及以上患者的卵母細胞品質下降,A 級佔 35%、B 級佔 49%、C 級佔 16%,與年齡增加導致卵巢儲備品質下降的已知現象一致。本研究提出一種在 ICSI 前基於黏彈性評估卵母細胞品質的新方法。由該裝置判定為高等級的卵母細胞與較佳的胚胎品質、更高的囊胚形成率相關,可能進一步轉化為更佳的生殖選擇與結果。該裝置的抽吸測量對卵母細胞發育並無不良影響。研究結果顯示,黏彈性測量具備預測卵母細胞品質與優化卵母細胞/胚胎篩選的潛力。

未來將進行更大規模的臨床試驗,以進一步驗證此分級裝置的普遍性與臨床應用價值。該裝置有望整合至 ICSI 工作流程中,於受精前選擇品質更佳的卵母細胞,從而優化生殖結果。此外,該裝置也可用於在冷凍前辨識優質卵母細胞,以提升卵母細胞保存的效率與未來生殖應用的效益。

本院使用一種新型裝置,評估在 ICSI 前成熟卵母細胞的黏彈性與其後續發育之相關性。該裝置整合人工智慧驅動的機器學習演算法,分析抽吸影片及相應的壓力數據,以萃取機械與形態特徵。裝置的抽吸測量安全性已獲得充分驗證。本初步研究於單一中心進行,納入 21 位同意參與的患者之卵母細胞。共收集 365 顆來自 27 至 38 歲患者(平均年齡:33.8±2.9)進行體外受精的卵母細胞,並依黏彈性測量結果分為 A、B、C 三組。比較三組間的受精率、第 3 天優良胚胎發育率(≥7CB)以及第 5/6 天可用囊胚發育率。
黏彈性測量並未對平均受精率(83%)、第 3 天優良胚胎發育率(79.9%)或可用囊胚發育率(57.8%)造成不良影響,上述結果皆與實驗室的關鍵績效指標一致。雖然 A 組(84.8%)、B 組(80.5%)、C 組(85.1%)的受精率無顯著差異,但 A、B、C 三組的第 3 天優良胚胎發育率分別為 87.8%、75% 與 67.5%(p < 0.05),可用囊胚發育率分別為 64.8%、54.8% 與 42.5%(p < 0.05)。此外,分析顯示 35 歲以下患者的卵母細胞品質較佳,其中 A 級佔 54%、B 級佔 36%、C 級佔 10%;相較之下,35 歲及以上患者的卵母細胞品質下降,A 級佔 35%、B 級佔 49%、C 級佔 16%,與年齡增加導致卵巢儲備品質下降的已知現象一致。本研究提出一種在 ICSI 前基於黏彈性評估卵母細胞品質的新方法。由該裝置判定為高等級的卵母細胞與較佳的胚胎品質、更高的囊胚形成率相關,可能進一步轉化為更佳的生殖選擇與結果。該裝置的抽吸測量對卵母細胞發育並無不良影響。研究結果顯示,黏彈性測量具備預測卵母細胞品質與優化卵母細胞/胚胎篩選的潛力。

未來將進行更大規模的臨床試驗,以進一步驗證此分級裝置的普遍性與臨床應用價值。該裝置有望整合至 ICSI 工作流程中,於受精前選擇品質更佳的卵母細胞,從而優化生殖結果。此外,該裝置也可用於在冷凍前辨識優質卵母細胞,以提升卵母細胞保存的效率與未來生殖應用的效益。
